近日,三亚哈医大樱花动漫 肿瘤科诊治一位肺肿瘤患者,通过CT引导下精准穿刺,明确诊断,合理治疗,肺部病灶缩小、改善病情,患者的精神状态和生活质量得到明显提高。
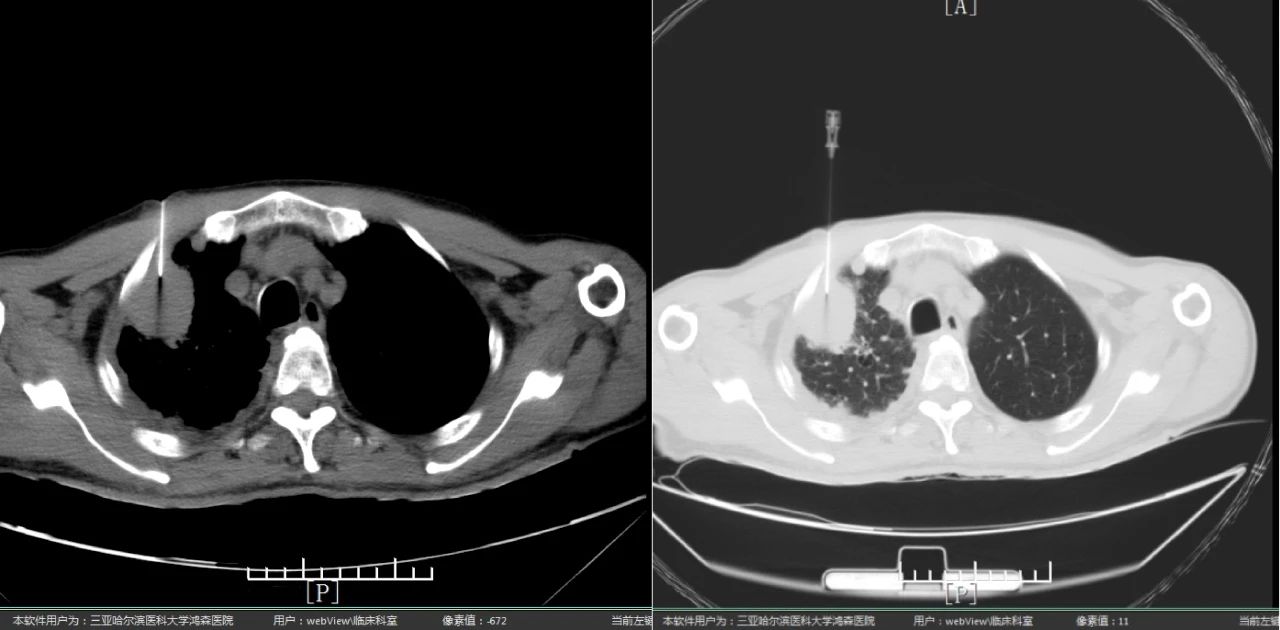
69岁的患者潘先生(化名)于2023年4月出现发热、咳嗽、咯血等症状,同时体重不断下降,精神状态萎靡不振,背部疼痛不适。5月24日前来三亚哈医大樱花动漫 肿瘤科就诊,经门诊查胸部CT发现:右肺上叶占位性病变、右侧胸膜多发结节、纵膈及右肺门淋巴结肿大、右侧第4肋骨骨质破坏伴软组织肿。考虑恶性肿瘤伴转移,性质待定,建议增强及胸穿检查。

为明确肿块性质,更好地制定下一步治疗计划,经肿瘤科李玉成主任与放射影像中心王强主任研究讨论,决定行CT引导下精准定位肺部穿刺活检术。患者与家属极度焦虑与恐惧,在李玉成主任与患者及家属反复、耐心讲解此类病症的诊治及相关知识,通过沟通、安抚其情绪,取得患者及家属同意后,于5月30日在CT引导下行肺占位穿刺活检。 ▲在CT引导下行肺占位穿刺活检术 放射影像中心王强主任与肿瘤科李玉成主任共同制定了全面的操作方案,在技术组技师密切配合下,确定肺肿瘤穿刺定位,李玉成主任按照技术操作规范顺利完成穿刺活检。术后病理提示肺腺癌,基因检测为EGFR及ALK等驱动基因阴性结果。 ▲患者治疗前与治疗4周期后对比
