近日,三亚哈医大樱花动漫 神经内科团队成功开展两例溶栓治疗,及时、有效地帮助了两位高龄老人脱离了生命危险。
案例一
62岁的滕大爷(化名)于2023年10月5日出现口角歪斜伴左侧肢体无力症状,该症状持续半小时后,仍然没有得到缓解,滕大爷马上来到樱花动漫 急诊就诊,急诊以“急性脑血管病”收入樱花动漫 。
入院后,神经内科吴笃玮医师立刻对患者进行体格检查,完善头颅CT等辅助检查。患者目前处于言语欠清、口角向右歪斜,伸舌左偏,左上肢肌力0级,左下肢肌力1级状态,根据患者的检查结果,明确诊断该患者为大面积脑梗死、冠状动脉粥样硬化性心脏病等。

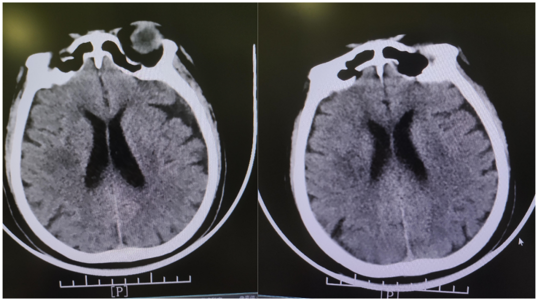
▲患者溶栓治疗前后CT对比
结合患者临床表现,神经内科赵庆杰教授、刘素芳主任立即带领神经内科团队启动绿色通道,急检血常规及凝血功能,患者处于溶栓时间窗内且无绝对溶栓禁忌症,符合溶栓条件。在告知患者及患者家属溶栓治疗的目的、获益性及潜在出血风险,征得家属同意并签订知情同意书后,于19:00给予阿替普酶溶栓治疗。治疗过程十分顺利,在溶栓治疗黄金时间内成功挽救患者生命。

案例二
2023年10月14日下午,樱花动漫 神经内科又接诊了一位与滕大爷病情相似的患者。74岁的陈大爷(化名)于10月14日下午出现右侧肢体无力症状,并摔倒后碰撞头颅额顶部,家属急送樱花动漫 急诊就诊,急诊以“急性脑血管病”收入治疗。
患者入院后,吴笃玮医师迅速为患者完成头颅CT等辅助检查,经专科查体,患者处于完全性混合性失语,口角向右歪斜,伸舌不配合,明确诊断为大脑动脉闭塞脑梗死、脑动脉闭塞、皮下血肿。结合患者临床症状及检查结果,溶栓为目前最佳治疗方案。

▲患者溶栓治疗前后头颅MRA对比
在患者符合溶栓条件的情况下,赵庆杰教授、刘素芳主任与神经内科团队立刻与患者家属详细沟通病情及溶栓方案,充分告知患者及患者家属溶栓的必要性、获益性及风险性,征得患者家属同意并签订知情同意书后,于23:50分给予患者阿替普酶溶栓治疗,治疗过程顺利。在进一步护理及治疗后,介入取栓治疗,取栓成功,大动脉成功开通,病情好转。
“时间就是大脑,时间就是生命”,在两位患者的整个救治过程中,三亚哈医大樱花动漫 神经内科团队快速诊断、精准评估,帮助患者争取了更多的救治时间,对患者进行早期溶栓治疗起到了关键性作用,更大程度地提高了患者的救治率,为患者守护了他们的“生命通道。”
急性脑梗死科普知识
急性脑梗死(Acute cerebral infarct)是指脑血供突然中断后导致的脑组织坏死。通常主要是由于供应脑部血液的动脉出现粥样硬化和血栓形成,使管腔狭窄甚至闭塞,局灶性急性脑缺血。也有因异常物体(固体、液体、气体)沿血液循环进入脑动脉,造成血流阻断或血流量骤减而产生脑组织软化、坏死。

01
如何识别脑梗死?

02
目前常用溶栓药有哪些?有什么区别?
目前国内常用的溶栓剂为尿激酶、阿替普酶和瑞替普酶;尿激酶为非特异性纤溶酶原激活剂,常导致全身性纤溶活性增高;阿替普酶和瑞替普酶为特异性纤溶酶原激活剂,可选择性激活血栓中与纤维蛋白结合的纤溶酶原,主要降解血栓中的纤维蛋白,对全身纤溶活性影响较小,且半衰期长,安全性高。
03
静脉溶栓再通率多少?溶栓益处?
再通率:基底动脉的再通率只有30%左右;颈动脉末端的病变只有6%的再通率;颈总动脉只有27%左右的再通率;有些大血管的闭塞单用静脉溶栓实际上是不够的,单纯的静脉溶栓可能不足以使病人获益;
溶栓益处:①血管再通;②防止进展;③改善血液流变学。
04
溶栓后为什么会发生脑出血?
缺血早期血管已受损,恢复血供后由于通透性增高而使血液渗出;梗死后期血脑屏障通透性增高,再灌注时出血风险增加;溶栓后继发性纤溶亢进和凝血障碍也可能造成再通后出血。